Fibrome utérin Annuaire de soignants, actualités et bien plus...
Fibrome utérin Annuaire de soignants, actualités et bien plus...
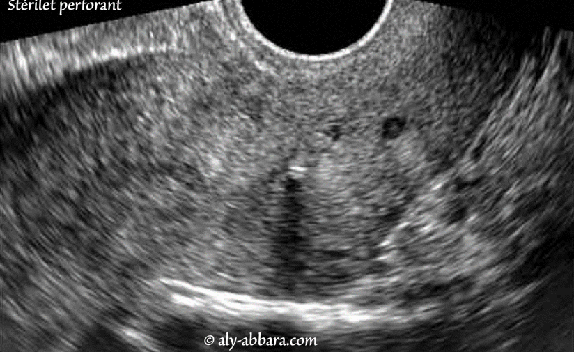
Perforation Utérus Stérilet Symptômes. Complications of hysteroscopy ppt download Avant toute chose, il faut souligner que cette complication est très rare Infections : Un stérilet déplacé peut augmenter le risque dinfections gynécologiques, telles que la vaginite ou la maladie inflammatoire.
Le stérilet, méthode contraceptive Mandynat from mandynat.fr
Celle-ci survient le plus souvent dans les suites immédiates de la pose mais "reste très rare", tempère la gynécologue. Dans de rares cas, il peut cependant arriver que ce contraceptif se déplace : soit vers le bas, ce qui correspond à une descente voire à une expulsion du dispositif, soit dans le corps suite à une perforation de l'utérus.
Le stérilet, méthode contraceptive Mandynat
Si la perforation est passée inaperçue, le risque de grossesse est évidente d'où l'intérêt de ne passer à côté. Si la perforation est passée inaperçue, le risque de grossesse est évidente d'où l'intérêt de ne passer à côté. Pour éviter les risques de perforation de l'utérus et vérifier que le stérilet soit posé au bon endroit, le gynécologue va examiner la profondeur de l'utérus.
stérilets SVT contraception Vive les SVT ! Les sciences de la vie et de la Terre au collège et. Pour que cela arrive, il faut que la pose du contraceptif se fasse dans certaines situations à savoir : utérus rétro fléchis ; Avant toute chose, il faut souligner que cette complication est très rare
Diagnostics Free FullText Uterine Perforation as a Complication of the Intrauterine. Lorsque le stérilet se déplace dans un utérus fragilisé - par exemple par une grossesse, un accouchement, une fausse couche, une IVG ou une césarienne - il risque de perforer la paroi utérine et de migrer sous les côtes ou dans l'abdomen.Ce risque de perforation reste un événement très rare : il surviendrait dans 1. Si la perforation est passée inaperçue, le risque de grossesse est évidente d'où l'intérêt de ne passer à côté.